House Wiki

For the homeless man begging for a coat in Unfaithful, see Daryl (Unfaithful). For the actor who portrayed Gabriel Reilich in Cursed, see Daryl Sabara.

Daryl was the college football player and pro prospect in the episode Moving the Chains. He was portrayed by actor Da'Vone McDonald.

Medical History[]

Daryl plays offensive lineman. He is 6'7" tall and weighs 310 pounds. He is regularly injected with lidocaine to deal with the pain of football injuries.

Case History[]

Daryl lost his temper at a football scrimmage and started beating up the player he had been blocking during the play. However, after the incident, he kept hitting himself in the head with his helmet. He was taken to Princeton-Plainsboro Teaching Hospital and his case was assigned to Dr. House.

Dr. Hadley noted that Daryl's symptoms appeared to point to brain involvement. Daryl denied any recollection of the incident that brought him to hospital. Dr. House thought it was merely a concussion, however, the emergency room had done a CT scan and had ruled out concussion, stroke, and cortical degeneration. The patient also had a full psychiatric workup. Dr. House though it might be steroid rage, but Daryl's tox screen was negative for anabolic steroids. However, Dr. House thought the negative test result just showed he was using good quality steroids that are harder to detect. He noted the patient injected lidocaine on a regular basis. Dr. Foreman thought that repeated trauma might have caused a pituitary adenoma that caused GNRH production that would mimic steroid abuse. Dr. Hadley noted that wouldn't show up on a CT scan. Dr. House allowed them to do a bilateral venous sampling to look for excess hormones and an MRI to look for pituitary damage. However, if those tests were negative, he wanted treatment for steroid abuse.

Dr. Taub asked Daryl if he had any deep persistent pain, but Daryl said that due to the football, his whole body hurt all the time. He explained that they were going to test his pituitary. Daryl asked how long it would take to treat, and his mother explained that he was supposed to be playing in an all-star game where several pro scouts would be in attendance. If he were not there, he would most likely not be drafted into the pros. Dr. Taub assured them if it was his pituitary, the surgery would be minimally invasive and he would only need about two days of recovery.

However, the pituitary scan was normal. Dr. House ordered a somatostatin analog, which would clear the steroids from his system well before his football game.

Daryll: I've never done steroids
Taub: Well, somehow your GnRH got elevated. This will help get it back down.
— Daryl tries to explain away his hormone levels


However, Daryl denied ever using steroids. Dr. Taub explained his GNRH was elevated. However, his mother didn't believe him either. Daryl maintained his innocence and all of a sudden, he became tachycardic. Dr. Taub ordered him to lie back on his bed. Dr. Taub called for adenosine and a crash cart. He also realized the tachycardia ruled out steroid abuse.

Dr. Foreman reported that the patient had suffered from a paroxysmal tachycardia, but they had managed to restore sinus rhythm. He was considering an EKG and a sestamibi scan. The team proceeded with tests, but there didn't seem to be anything wrong with Daryl's heart. Dr. Foreman thought it might be a PFO. It allowed oxygenated and deoxygenated blood to mix and clot, causing the issues with the heart and brain. However, Dr. Foreman's brother Marcus Foreman was there and thought it might be the same thing that killed another college athlete, which Dr. Taub remembered was a hypertrophic cardiomyopathy. Dr. House agreed it made sense and ordered a stress test despite the risk of cardiac arrest.

However, the stress test was totally unsuccessful. Daryl pushed himself very hard and his heart rate never rose above 150 bpm due to his excellent physical shape. Dr. House went to see Daryl to find him getting dressed to go back to football practice. However, Dr. House wanted to inject Daryl with a vasodilator to raise his heart rate. However, when he looked at Daryl's hands, he saw that his skin was getting whiter.

House: You're turning white.
Glenda: What does that mean?
House: It means he doesn't need football to get a good job anymore.
— House flirts with a discrimination suit

The whiteness of his skin indicated Raynaud's phenomenon - spasms in the blood vessels cut off the supply of blood to his fingers, making them appear whiter. One of the conditions that causes this is rheumatoid arthritis, but the test for it was negative. Dr. Hadley thought it might be arterial plaque throwing clots, but Dr. House didn't think a patient suffering from stenosis would have been able to run on a treadmill without his heart rate staying below 150. Dr. Chase thought it might be Takayasu's arteritis, but Dr. Foreman thought lymphoma was a better fit and suggested a splenectomy. Dr. Chase thought surgery was premature. Dr. Foreman argued that they couldn't do a biopsy and pathology in a timely manner, but Dr. Chase realized Dr. Foreman was rushing so that Daryl could recover in time for his football game. Dr. House suggested an ethanol drip. If Daryl started to itch, that would confirm lymphoma, but if he lost his radial pulse, it would confirm Takayasu's.

They started the procedure, and Daryl started to itch. Dr. Foreman explained that this most likely meant lymphoma, but they could remove his spleen immediately with a laproscopic procedure and his recovery should be only a few days. He could return after his game for radiation therapy.

Dr. Chase operated with Dr. Foreman assisting, but they noticed during surgery that Daryl's liver was inflamed. That meant the itching was due to his liver and not his spleen.

Dr. Foreman reported that Daryl had no abnormal B cells or T cells, ruling out lymphoma. The liver biopsy only revealed non-specific inflammation. Dr. Foreman thought it might be polymyositis, but Dr. House pointed out that it also causes muscle weakness. Dr. Chase suggested Felty's syndrome, but it would have caused spleen inflammation. Dr. Taub suggested viral hepatitis from using a lidocaine needle twice. Dr. House ordered a blood test.

They attempted the blood test, but Daryl's blood clotted in the container. Dr. Foreman reported this to Dr. House who realized Daryl had a blood issue. Dr. Foreman thought it must be cryoglobulin anemia from doing practices in cold weather. Dr. House ordered warfarin.

Dr. Foreman explained the diagnosis to Daryl, and that it would take 2-3 weeks to treat. However, he would fully recover. However, his mother pointed out that if he didn't play, his football career would be over. She wanted to delay treatment until after the game. However, Dr. Foreman pointed out that if they didn't treat him and he played, he could die during the game.

Daryl improved on heparin and his color returned. However, Dr. Foreman came by and found Daryl getting ready to leave. Daryl said his team doctor had been by and cleared him to play. Dr. Foreman realized Daryl hadn't told him that he was on heparin. Daryl's mother admonished him to stay, but Daryl said he would be back after the game. His mother asked Dr. Foreman to follow him.

Daryl: My coach had the team doctor come by. He cleared me to play.
Foreman: Did your team doctor realize you're on blood thinners?
Daryl: (Pulls out the IV) I'm off them now.
— Daryl rejects medical advice

Dr. Foreman did follow Daryl to the stadium. Daryl insisted on playing, but as he headed out to the field, he suddenly had shortness of breath and went down to one knee. He complained his vision was blurry, and then he complained of blindness and asked to be returned to the hospital.

Foreman: You okay?
Daryl: Everything's blurry. I can't see. Take me back to the hospital.
— Foreman successfully tricks Daryl


Dr. Taub tried to add the blindness back to the differential, but Dr. Foreman admitted spiking Daryl's water bottle with nitrates. This temporarily robbed his brain of oxygen rich blood, causing temporary vision loss. His vision was already returning. Dr. Chase wanted to put him back on heparin, but Dr. House noted that Daryl was weighed both on admission and when he was recently readmitted, but had only lost one pound of weight. Patients of Daryl's size usually lose well over ten pounds during a hospital stay of that duration. Dr. Taub noted they had already ruled out steroids, but Dr. Chase realized that excess hormone production could also be paraneoplastic syndrome. Dr. House ordered testing for any cancer that could cause excess production of human growth hormone.

All the tests for cancer were negative, and Dr. House thought he might be wrong about the weight loss, but they had already found blood in Daryl's urine indicating kidney failure which also pointed to cancer. Paraneoplastic syndrome was the only condition that linked all of the conditions. Dr. House realized that the cancer may not be inside Daryl.

"On the rare occasion that black people do get skin cancer, they usually get it on the white parts – palms and soles of the feet. But your hands and feet are so smashed up from football, my team are likely to have written off any skin blemish as a bruise. But now that I know that melanoma is the only thing that fits... Come take a look at this, Mom. There's the thorn in the panther's paw. Paraneoplastic syndrome. Your body forms antibodies to fight the tumor. Those tiny little proteins travel through your blood and wreak havoc. We remove the cancerous mole, everything should be fine. I'll tell Dr. Chase to schedule the surgery."
―House confirms his diagnosis

Dr. House went to examine Daryl. He told Daryl that as an African-American, his dark skin was due to melanin, a pigment. Unfortunately, doctors often rule out melanoma in African-Americans as a diagnosis as it is caused by exposing skin to light with is usually shielded by the melanin. However, all dark-skinned people have light patches on their palms and the soles of their feet. However, melanoma could easily be mistaken for a bruise on a person with as many minor injuries as Daryl had from football. Dr. House started examining these areas for irregularly shaped patches as melanoma was the only diagnosis that fit. He finally found a small very dark mole between the big and second toe of Daryl's right foot. He explained the cancer caused paraneoplastic syndrome which accounted for his symptoms. Dr. House planned surgery, but Daryl didn't see what the point was as he couldn't play football. Dr. House reminded him that he had received a free college education and could at least start a normal career without debt.

A reflection of House[]

Daryl is exceptional at his chosen field and far outshines his contemporaries in college. He is willing to risk his health to participate in his chosen field. He regularly uses painkillers to deal with pain in his legs.

Reaching the diagnosis[]

As House initially thinks, a football player suffering from a blackout points directly to concussion. However, he is usually savvy enough to realize that the "stupid doctors" have already looked into that, and his team confirms that the emergency room did a CT scan to rule it out, as well as ruling out stroke and cortical degeneration, which are the next likely candidates. Taub also points out he's had a psych consult, so the next most likely candidate, mental illness, is off the table. House jumps to steroid abuse, which also fits the patient's symptoms and medical history. Despite the negative test, House believes that it is more likely given the patient's routine use of lidocaine to treat pain. However, the team correctly points out the negative test result makes it unlikely and that excess GNRH from a malfunctioning pituitary hasn't been ruled out. House orders venous sampling to test the GNRH levels to see if they are abnormal, and an MRI of the pituitary to see if it's been damaged, which would explain elevated GNRH. However, he notes if the pituitary is normal, steroid abuse is back on the table.

House is smug when the GNRH levels are elevated and the pituitary is normal. Both point back to steroid abuse despite Daryl's denials.

However, the immediate tachycardia points away from steroid abuse. Foreman orders an EKG and sestamibi scan to look for the cause. When those are clear, they discuss something that wouldn't show up, like patent foramen ovale which could cause clotting. However, Marcus' suggestion of hypertrophic cardiomyopathy fits better and can't be detected by a standard EKG. Despite the danger, House orders a stress test, which would result in a cardiac arrest.

When Daryl breezes through the stress test (failing even to raise his heart rate to 150 after exercising for nearly an hour) House decides to try vasodilators instead. However, he notes Daryl's palms are unusually pale, pointing to Raynaud's phenomenon and circulatory problems. However, it can be caused by several unrelated illnesses. House decides to do a diagnostic trial by giving him intravenous alcohol which will cause itching if it's lymphoma and loss of the radial pulse if it's Takayasu's arteritis.

Daryl starts getting itchy, pointing to the lymphoma. Immediate treatment is removal of the spleen, which would allow him to play football for scouts, followed by radiation therapy during the off-season.

However, during surgery, they note the spleen is fine, but the liver is inflamed. Since it caused the itching, lymphoma can be ruled out. In addition, the blood tests they ran to try to confirm it have ruled it out. The liver biopsy was inconclusive. Taub's idea was that an injection needle was used and he was infected with hepatitis, which fits all the other symptoms as well. However, when they go to test the blood, they discover cryoglobulinemia, most likely from working out in the cold. That also explains all the symptoms and the treatment is simple - warfarin.

When it turns out that Daryl has actually gained a tiny amount of weight in the hospital, pointing to paraneoplastic syndrome and cancer. Several cancers can result in human growth hormone and there is no reason to prefer any of them. When they find blood in his urine, it confirms Kidney failure and that cancer is the most likely. As they've done a full body scan looking for its source, House believes that it may be a skin cancer that has gone unnoticed, most likely melanoma, which would not show up well against dark skin and might be mistaken for a bruise. He examines the palms of Daryl's hands and the soles of his feet and finds a possibility between two toes.

Explaining the medicine[]

  • "'Roid rage" is actually quite rare and is not well understood. It's known that there is a clear relationship between testosterone and aggression, but psychosis is not typical. It's believed that in some cases people with developed anger issues who abuse steroids go into a state where they lose impulse control. Although steroid use is found in such incidents, so are indications of brain damage from concussion.
  • Amnesia of events that occur immediately before a traumatic event is not uncommon, but its causes are poorly understood. The phenomena was first identified by French psychologist Theodule Ribot in the 19th century who noted that in many cases of retrograde amnesia, events closer to the injury tended to be more likely to be missing than events that happened farther away.
  • Tests for steroids used by athletes generally don't look directly at the hormones in question. Those are often quickly converted by the body and, in any event, occur naturally in the body. For example, some males naturally have a higher level of testosterone, so absolute testosterone values tell a doctor nothing about whether a patient has been taking artificial testosterone. Instead, the tests look for relationships between several hormones that are created in the typical breakdown of the target hormone in the body, or those that are created in the same gland as the target hormone. That's why "the good stuff", which tends to be closer to the natural hormone, is harder to detect in tests. GNRH, for example, is triggered by some hormones and starts a cascade of other hormones. The ratio of GNRH to those other hormones is generally consistent from patient to patient no matter what their "base" level. Low levels of the "trigger" hormone and high levels of the "breakdown" hormones point to a patient who is abusing steroids or similar drugs.
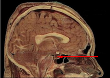
Pituitary gland

The pituitary gland in the skull, relative to the brain and nasal cavity, courtesy Jomegat via Wikipedia

  • As can be seen in the scan, the position of the pituitary is directly behind the nasal cavity in the skull as such, Taub is right that it can be reached by going up the nose through the front of the skull.
  • A sestamibi scan uses a radioactive element that when it reaches the myocardium of the heart goes where there is the most blood flow. The element emits gamma rays which are picked up on a detector. The scan is done twice - once with the patient at rest and once after putting them under stress. The scans are then compared for differences which can indicate ischemia or infarction.
  • Hypertrophic cardiomyopathy is an enlargement of part of the muscles of the heart. This causes blood flow problems and stenosis which can lead to cardiac arrest when the heart is under stress. It's manageable, but athletes have to monitor their condition carefully.
  • Good athletes like Daryl have tremendous cardiovascular health. When performing a stress test, doctors determine the maximum predicted heart rate for the patient, which is a function of their age - 220 minus the patient's age or for 22-year-old Daryl, 198 bpm. They then aim for 85% of that - about 169 bpm. However, athletes have very efficient heart muscles and their heart rate both at rest and while exercising tend to be much lower than average. Both endurance and strength athletes (Daryl falls in the latter category) show this trend.
  • Raynaud's phenomenon is caused by vasospasms in the arteries that supply blood to the extremities, causing the fingers to turn remarkably pale or even bluish while the rest of the hand remains its normal color. The effect is clearest in the parts of the hand furthest away from the wrist. It can also affect the lips, nose and toes. Unfortunately, it's very non-specific and can be idiopathic. It's often triggered by cold or emotional stress. Nevertheless, it can narrow down a differential and is frequently the first obvious symptom of many progressive disorders.
  • Rheumatoid factor is an antibody that attacks the host's own joint tissues and appears in many autoimmune diseases. It can also cause cryoglobulinemia, but in this case that was caused by the cancer which often encourages clots to form.
  • Doctors may perform a splenectomy on a patient with lymphoma as the cancerous cells often accumulate in the spleen and cause further complications.
  • Although itching can be a symptom of lymphoma, the most common reaction to ethanol consumption in lymphoma patients is pain from swollen lymph nodes. Similarly, loss of the radial pulse is a common symptom of Takayasu arteritis. Alcohol is only a problem with Takayasu when there is a medicine interaction.
  • If Daryl had lymphoma, his spleen would have been enlarged. Liver failure means a build up of bile and other chemicals that cause itching in the bloodstream.
  • The paraneoplastic syndrome that is the most likely cause of growth hormone problems is Doege-Potter syndrome, but it usually doesn't occur with a melanoma.
  • Although melanoma is less common in African-Americans (it's 20 times more common in Europeans), it's usually diagnosed at a later stage where it is harder to treat successfully. There are also rare melanomas that are more common in African-Americans.


Featured articles
September 2017 October 2017 November 2017
Larger than Life Daryl Histories

This article was the featured article for October, 2017.